10. Neurostimolazione Midollare

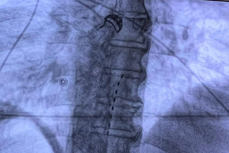
La Neurostimolazione Midollare o Spinal Cord Stimulation permette, attraverso sistemi impiantabili sotto cute costituiti da uno o più elettrodi e da un generatore d’impulsi (pacemaker), di creare un campo elettromagnetico attorno al midollo spinale, in grado di modulare la conduzione del dolore cronico.

Gli elettrodi vengono posizionati a livello dello spazio epidurale attraverso un’incisione percutanea in anestesia locale, quindi, collegati al generatore di impulsi che viene posizionato dentro una tasca sottocutanea in regione sovraglutea.

Uno dei meccanismi di azione su cui si basa la neurostimolazione midollare è la famosa teoria del cancello “gate control” di Melzack e Wall, la quale afferma che l’attività delle fibre cutanee di largo diametro di tipo A-beta inibisce la trasmissione nell’informazione dolorosa al cervello. 
La neurostimolazione midollare attiva queste grandi fibre sopprimendo i neuroni secondari attivati dalle fibre piccole (C e Aδ) che trasmettono il dolore.

L’intervento, in anestesia locale, non presenta particolari controindicazioni o effetti collaterali e consta di due fasi:

  • Una prima fase “trial” che consiste nell’impianto del solo elettrodo midollare per testarne la sua efficacia nel controllo del dolore.
  • Nella seconda fase, una volta appurata la sua efficacia antalgica a distanza di qualche settimana, il generatore viene impiantato in maniera definitiva in sede sottocutanea.

Quando è indicato il suo utilizzo?

  • Dolore di tipo Neuropatico
  • Stenosi del canale
  • Dolore cronico post-chirurgico
  • Radicolopatia (Lombosciatalgia e Cervicobrachialgia) resistente a terapia
  • Distrofia simpatico-riflessa o Sindrome regionale complessa (CRPS)
  • Arteriopatie periferiche

Il dispositivo è programmato (amplitudine, pulse width, intensità e forma d’onda) da ingegneri esperti specializzati mediante un tablet dedicato. Successivamente il paziente stesso potrà gestirne l’intensità con un telecomando.

Neuromodulazione Elettrica

Tecnica avanzata che modula la trasmissione del dolore agendo direttamente sulle strutture nervose coinvolte.

Controllo del Dolore Cronico Refrattario

Indicata nei pazienti che non rispondono alle terapie farmacologiche o infiltrative, offre un’alternativa efficace e personalizzata.

Tecnologia Mini-Invasiva

Procedure eseguite con elevata precisione, finalizzate a ridurre la percezione del dolore e migliorare significativamente la qualità di vita.

Cosa dicono i nostri pazienti

LE NOSTRE TESTIMONIANZE