News/Blog

be7512b4c54db04b-Natale_Giuliano-scaled-2

Buon Natale e meno dolori a tutti!

🎄 Buon Natale e meno dolori a tutti! 🎄 In questo periodo di festa, il mio augurio più sincero è che possiate vivere giornate serene,…
Leggi Articolo
028ba9af309ae282-dottor_giuliano_lo_bianco-1

RICORDI DI UN’ESPERIENZA UNICA

Partecipare al 13th Annual New York & New Jersey Pain Medicine Congress: Evolving Advanced Pain Therapies è stato un viaggio indimenticabile, non solo per l’opportunità…
Leggi Articolo
f527b8283b96932f-2979459_-02-1

Oggi ascoltiamo la testimonianza di Giuseppe Tortorelli.

🎥 Oggi ascoltiamo la testimonianza di Giuseppe Tortorelli. Giuseppe, pensionato, ha vissuto mesi di sofferenza a causa di dolori insopportabili alla sciatica, che lo avevano…
Leggi Articolo
01a774ad8e8dc7a1-new-jersey

13th Annual New York & New Jersey Pain Medicine Congress: “Un’esperienza indimenticabile”

🌟 Un’esperienza indimenticabile 🌟 Sono profondamente onorato di aver partecipato al 13th Annual New York & New Jersey Pain Medicine Congress: Evolving Advanced Pain Therapies,…
Leggi Articolo
44de3035b12ac5e2-CORTISONE

Perché è importante limitare l’uso del cortisone, non solo per bocca ma anche nelle infiltrazioni?

l cortisone è uno strumento potente, ma non privo di rischi. L’uso eccessivo, anche in forma di infiltrazioni, può provocare effetti collaterali significativi, tra cui:…
Leggi Articolo
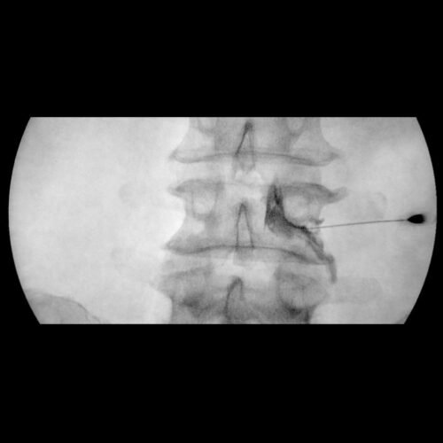
da3b3c655ca7dc64-SCOTTIEDOG2

L’importanza dello Scottie Dog Sign nella Fluoroscopia del rachide in Terapia del Dolore

Nella gestione del dolore cronico, l’accuratezza nella diagnosi e nel trattamento è fondamentale. Un’immagine chiave che utilizziamo nella fluoroscopia del rachide è il famoso “Scottie…
Leggi Articolo
67e34b30f2d04b79-WhatsApp-Image-2024-09-23-at-19.20.58

Sono onorato e grato per il riconoscimento ricevuto!

È un profondo privilegio annunciare che ho avuto l’onore di ricevere il Rising International Star Award al congresso The Business of Pain 2024 a Nashville!…
Leggi Articolo
4addd0502c6b9077-The-Business-of-Pain-Conference

Partecipazione alla Conferenza “The Business of Pain” e Ricevimento del Premio “Rising International Star”

🎉 Exciting Announcement! 🎉 I’m honored to be a part of The Business of Pain: The Next Big Thing conference, taking place from September 26-29,…
Leggi Articolo
a36dcfd5b371578a-7914221

Un’esperienza formativa indimenticabile a Düsseldorf!

Ho avuto il grande piacere di essere tutor al corso ABBOTT Education Network presso l’European Anatomy Campus di Düsseldorf, dedicato alla Neuromodulazione. Durante il corso,…
Leggi Articolo
7ce4f042372a45c7-792

CASE STUDY OZONOTERAPIA PARAVERTEBRALE

Il signor Franco, 72 anni, soffre di dolore lombare esacerbato dai movimenti, per cui non riesce più ad occuparsi del suo giardino come faceva un…
Leggi Articolo
895b1901406b63a0-5106100_2-1

CASE STUDY OZONOTERAPIA INTRADISCALE

Alessandra, 43 anni, da molti anni soffre di mal di schiena lombare con irradiazione agli arti inferiori, formicolio e parestesie; da qualche mese è costretta…
Leggi Articolo
1ae30efbffe9e611-OZONO

OZONOTERAPIA

L’ozonoterapia è un trattamento che prevede l’infiltrazione di ossigeno e ozono, sotto forma di miscela prodotta da un macchinario, in una zona circostante all’ernia o…
Leggi Articolo
cb3cc68dfce4891f-Hot-Topics-in-Chronic-Pain

Hot Topics in Chronic Pain

Best 12 months publications regarding Chronic Pain, at ESAIC Euroanesthesia 2024 in Munich.
Leggi Articolo
dfe332f7003dea52-Senza-titolo-1

Neurostimolatore midollare… parla la paziente!

🎥✨ Una testimonianza straordinaria di guarigione! 🌟 Scopri la storia di una signora che ha ritrovato il sorriso grazie all’elettrostimolatore lombare contro il dolore cronico…
Leggi Articolo
9f58497071162f9f-healthcare_banner_or_square_flyer_with_doctor_theme_for_social_media_post_template

Intervento Dott. Lo Bianco: Come prevenire le complicanze delle procedure interventistiche sul dolore

Vi riportiamo l’intervento del Dott. Giuliano Lo Bianco, dal titolo “Come prevenire le complicanze delle procedure interventistiche sul dolore” tenuto durante il 26th Annual Gabor…
Leggi Articolo
f8a9b591d9734f85-6

Un Nuovo Approccio alla Gestione del Dolore: Neurostimolazione Midollare

Il dolore cronico è una realtà difficile per molti individui, specialmente quando diventa debilitante e intrattabile con le terapie convenzionali. Tuttavia, una nuova speranza si…
Leggi Articolo
742cfecab5e01469-health_care_social_media_post_2

Esplorando Trattamenti Interventistici per l’Ernia del Disco: Una Prospettiva Terapeutica Innovativa

Se soffri di ernia del disco, saprai quanto possa essere debilitante e limitante per la tua qualità di vita. Fortunatamente, negli ultimi anni, sono emersi…
Leggi Articolo
effdae6bc6cb37e9-Crioanalgesia2

Trasforma il Tuo Benessere: Crioneuromodulazione per il Dolore Cronico al Ginocchio da Artrosi e Post-Protesi

Il Dr. Giuliano Lo Bianco, MD, PhD, FIPP, EDPM, pone l’attenzione su un trattamento rivoluzionario per chi soffre di dolore cronico al ginocchio da artrosi o dopo…
Leggi Articolo
561f32d58e5b41e5-ERNIADELDISCO

ERNIA DEL DISCO: Esploriamo le Opzioni di Cura

Quando si tratta di Ernia del Disco, la ricerca di un trattamento efficace è una priorità. È importante notare che non esiste un trattamento “Gold…
Leggi Articolo
a9dccda158d17f3b-Crioanalgesia-1

Nuova Frontiera nel Trattamento del Dolore Cronico: Crioneuromodulazione

 **Nuova Frontiera nel Trattamento del Dolore Cronico: Crioneuromodulazione**  Il Dr. Giuliano Lo Bianco, MD, PhD, FIPP, EDPM, presenta una rivoluzionaria opzione terapeutica per il dolore cronico: la…
Leggi Articolo
8c78d51ebc5ea2da-testimonianza-di-un-giovane-paziente-che-ha-sperimentato-sollievo-dal-dolore-cronico-alla-schiena-

Una storia di speranza: il Neurostimolatore Midollare cambia la vita di un giovane paziente con dolore cronico alla schiena e alle gambe.

“🌈 Un raggio di speranza attraverso la testimonianza commovente di un giovane paziente: l’impianto di Neurostimolatore Midollare ha portato sollievo a un dolore cronico alla…
Leggi Articolo
4aa31e01b2c3a6c3-mediterranean

Intervistato il Dr. Giuliano Lo Bianco da InSanitas TV

Il responsabile dell’unità operativa di analgesia e chirurgia percutanea della Fondazione Giglio, Giuliano Lo Bianco, intervistato al Mediterranean Pain Forum da InSanitas TV, a Cefalù…
Leggi Articolo
2e17643e7a841765-rachide-cervicale-lombare

Rachide cervicale e lombare: interviene il Dott. Lo Bianco

Il Congresso Nazionale Feder Dolore-SICD (Società Italiana dei clinici del Dolore) ha avuto il privilegio di ospitare il Dr. Giuliano Lo Bianco, responsabile dell’unità operativa…
Leggi Articolo
4aa31e01b2c3a6c3-mediterranean

Intervistato il Dr. Giuliano Lo Bianco al Mediterranean Pain Forum

Il responsabile dell’unità operativa di analgesia e chirurgia percutanea della Fondazione Giglio, Giuliano Lo Bianco, intervistato al Mediterranean Pain Forum, a Cefalù presso il Centro…
Leggi Articolo
9c8178256bb7a12b-intervista-terapia-dolore

Terapia del dolore ne parla il dr. Giuliano Lo Bianco a Teleone

Il responsabile dell’unità operativa di analgesia e chirurgia percutanea della Fondazione Giglio, Giuliano Lo Bianco, intervistato al programma “Mattino Live” di Teleone da Tony Colapinto…
Leggi Articolo
c52d092a5739bf44-testimonianze_6-scaled-1

La video testimonianza del Signor Piazza

Testimonianza Neurostimolatore Midollare, Lombosciatalgia da Stenosi del Sig. I. Piazza
Leggi Articolo
5517db995ac98e8d-corso-rf-surgeon

Corso RF Surgeon to Surgeon STRYKER

Corso RF Surgeon to Surgeon STRYKER, live surgery e parte teorica presso la Fondazione Istituto G. Giglio di Cefalú. Tutor il dottore Lo Bianco, FIPP,…
Leggi Articolo
d4cade192f82ef81-fipp_1-scaled-1

Terapia del dolore: al Dottor Giuliano Lo Bianco il Diploma Europeo di Medicina del Dolore EDPM

Il Dottor Lo Bianco ha anche superato il Diploma Europeo di Medicina del Dolore (EDPM), un altro prestigioso esame condotto da European Pain Federation EFI,…
Leggi Articolo
749b783bf7b4f621-fipp

Terapia del dolore: al Dottor Giuliano Lo Bianco la Certificazione Internazionale FIPP

L’apprendimento in Medicina del Dolore non si ferma mai! Cercando di migliorare e sfidare se stessi in una ricerca senza fine!In questa ricerca, il Dottor…
Leggi Articolo
3f6d615fa313788c-infiltrazioni

Quanto tempo di riposo devo fare dopo un’infiltrazione?

L’infiltrazione per alleviare il dolore è una delle tecniche più efficaci per il trattamento di disturbi cronici che non rispondono ad altri metodi. Implica la…
Leggi Articolo
a86bbfc1d7f9d177-articoli-sito_1

Al Giglio impiantati due neurostimolatori midollari per ridurre il dolore

Due procedure per l’impianto di neurostimolatori midollari sono state effettuate alla Fondazione Giglio di Cefalù su pazienti con lombosciatalgia bilaterale. «In entrambi i pazienti, provati da forti…
Leggi Articolo
b830cdd7fb9b9072-corso-medici

Corso per medici di medicina generale sull’osteoartrosi

Sabato 2 luglio 2022, sono stato relatore insieme al dott. F. GIacco, del corso per medici di medicina generale, svolto all’interno delle Tenuta Tasca d’Almerita…
Leggi Articolo
8b3c123f9564b78d-epidurolisi

Epidurolisi e Radiofrequenza pulsata gangliare

La Radiofrequenza Pulsata Epidurale e/o Transforaminale è un intervento radioguidato eseguito inserendo un ago al centro del ganglio dorsale che sprigiona una corrente elettrica non…
Leggi Articolo
5ef26cee8ca610c2-9-maggio_1-scaled-1

Pain Week 2022

9-13 Maggio – Vetri Sul Mare, Amalfi Alcune foto del congresso, insieme a colleghi e amici.
Leggi Articolo
f40079b8365ea07d-21-maggio_1-1-scaled-1

#INS 15° Congresso Mondiale

Barcellona, Spagna – 21-26.05.2022 Dai un’occhiata al programma scientifico qui: https://lnkd.in/e5z8Jqnt Puoi registrarti qui: https://lnkd.in/eBBNdHaZ
Leggi Articolo
49973902bc35888e-7-8-apriel

Corso Lumbar Bio-Skills Lab – Spine Intervention Society

7 – 8 aprile – Amsterdam Skills Center “Le relazioni con i colleghi e l’aggiornamento internazionale è alla base della conoscenza in questa branca ultraspecialistica.…
Leggi Articolo
faef89f0850643f9-9-aprile_1-scaled-1

European Congress

9 – 10 aprile Amsterdam I medici di Terapia del Dolore interventistica di tutto il mondo si riuniranno ad Amsterdam al Congresso europeo SIS –…
Leggi Articolo
fca2389e4ab4f7cb-dolore-cronico

Benefici della terapia del dolore

Benefici della terapia del dolore La paziente D.G. con una brutta ernia lombare espulsa valutata alla risonanza magnetica, in terapia con oppioidi ed impotenza funzionale (deambula…
Leggi Articolo