02. Diagnostica

RMN – RISONANZA MAGNETICA

La risonanza magnetica (RMN) è un esame diagnostico che si basa sull’utilizzo di una variazione di campi magnetici e permette di visualizzare le strutture corporee senza l’uso di radiazioni ionizzanti.

A seguito di una visita specialistica, il Dott. Giuliano Lo Bianco può prescrivere una risonanza magnetica da svolgere a Palermo presso un ospedale convenzionato o presso la Fondazione Istituto G. Giglio a Cefalú, nei casi di dolore al rachide acuto e/o cronico, la risonanza infatti viene prescritta per una corretta diagnosi eziologica (ad es. ernie del disco,) lesioni patologiche o traumatiche

È comunque possibile eseguire questo tipo di esame diagnostico anche in singole zone del corpo o della colonna, in quest’ultimo caso parleremo di risonanza magnetica del rachide, divisibile in cervicale, toracico, lombare, sacrale e coccigeo, tra le più frequenti troviamo:

La risonanza magnetica cervicale, o RMN cervicale
che analizza lo stato dei dischi delle sette vertebre che compongono la colonna cervicale, da C1 a C7. È possibile anche esaminarne una sola porzione dividendo il rachide cervicale in superiore (C1-C2) e inferiore (C3-C7); tale tecnica è indispensabile nella diagnosi di spondilolistesi o per escludere lesioni dovute a traumi come il comune “colpo di frusta” da incidente stradale.
La risonanza magnetica lombosacrale o RMN lombosacrale
invece, esamina i tessuti molli e solidi della zona del rachide compresa tra L1-L5 ed il sacro, anche in questo caso è possibile dividere le regioni, ponendo in analisi una sola porzione; tale tecnica è necessaria per indagare l’origine della sciatalgia cronica da ernia discale e nella diagnosi di difetti della colonna come la spina bifida o la presenza di cisti perineurali.
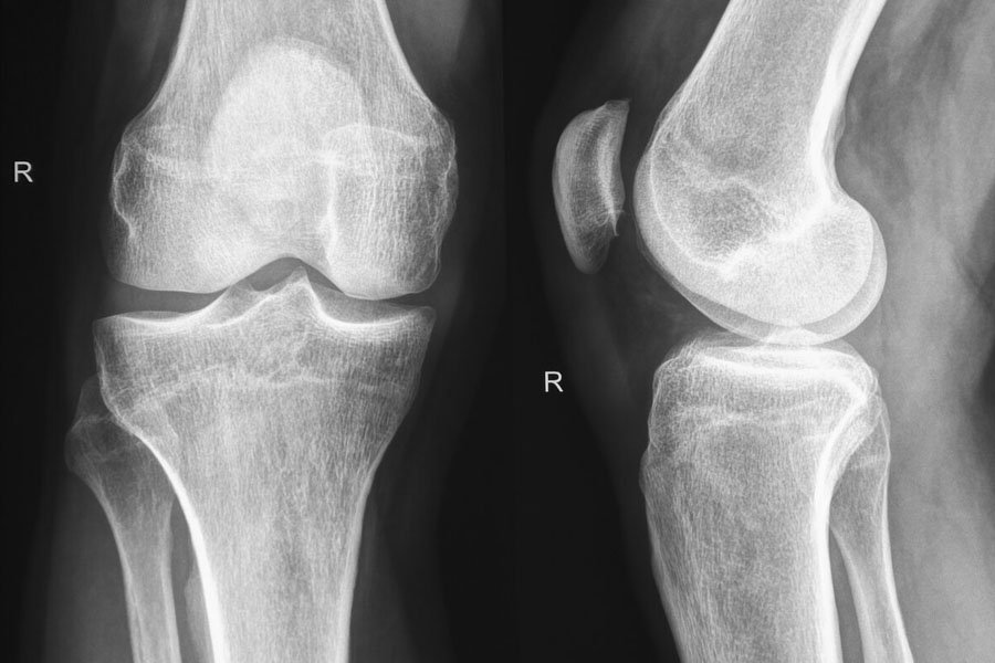
La risonanza magnetica del ginocchio
a volte propedeutica ad un’artroscopia dello stesso, comprende l’esame della parte finale del femore e quella iniziale di tibia e perone, congiunte anteriormente da rotula, menisco, tendine rotuleo e legamento crociato anteriore e posteriore; all’interno di questa struttura troviamo la cartilagine articolare.
La risonanza di questo complesso articolare viene prescritta di solito in presenza di sintomi come forte rigidità, debolezza e instabilità articolare, gonfiore e/o dolore acuto, nonché in caso di trauma. La risonanza magnetica del ginocchio è utile anche nella diagnosi di osteomielite, un’infezione dell’osso che se non diagnosticata in tempo può degenerare in necrosi e causare fratture patologiche.

RX- RADIOGRAFIA

La radiografia è un esame diagnostico che permette la visualizzazione di lesioni ossee (traumi e patologie ossee). È una tecnica diagnostica largamente utilizzata grazie alla semplicità di esecuzione ed alla larga diffusione e rimane l’indagine di primo livello nella valutazione delle lesioni ossee.

Nel caso in cui sia necessario, il Dott. Giuliano Lo Bianco può prescrivere una radiografia da svolgere a Palermo presso un centro convenzionato o presso la Fondazione Istituto G. Giglio a Cefalúsia per quanto concerne eventuali anomalie a carico dei corpi vertebrali, nel caso di RX colonna, sia RX al ginocchio per valutare eventuali lesioni traumatiche.

RX Colonna
è indicata per indagare eventuali alterazioni delle naturali curve del rachide sui piani assiali (cifosi, lordosi, scoliosi), eventuali anomalie a carico dei corpi vertebrali e la presenza di traumi, lesioni, anomalie congenite o processi degenerativi (es. crolli, fratture osteoporotiche e/o patologiche).
RX Ginocchio
è un esame rapido e di facile esecuzione indicato nella ricerca di lesioni traumatiche, artrosi o alterazioni morfologiche a carico di una o più componenti articolari.

TC (TAC) – TOMOGRAFIA ASSIALE COMPUTERIZZATA

La TAC o tomografia computerizzata è un esame di diagnostica per immagini che prevede, come la radiografia, l’uso di raggi X per la scansione della zona interessata; la TC, a differenza della radiografia, é in grado di ricostruire le immagini in tre dimensioni. Un esame TAC molto frequente per indagare l’origine di patologie dolorose del rachide, ma anche l’eventuale presenza di metastasi o lesioni traumatiche, è la TC del rachide; questo esame ha una elevata sensibilità nel rilevare questo tipo di lesioni grazie al suo alto potere di risoluzione (pochi millimetri). La TC del rachide è eseguibile nelle sue varie sezioni: cervicale, dorsale e lombo-sacrale. La TC lombosacrale è una delle più frequentemente prescritte in quanto il tratto del lombo-sacrale è quello più soggetto a degenerazione da patologia artrosica e traumatica, inoltre le nevralgie e neuropatie delle articolazioni della suddetta zona risultano essere tra le più invalidanti, è quindi necessario avere una visione anatomica più dettagliata possibile ed intervenire tempestivamente.

ELETTROMIOGRAFIA

L’elettromiografia (EMG) è un esame utilizzato nella diagnostica neurologica e valuta la trasmissione dell’impulso nervoso nella zona esaminata (arti superiori e/o inferiori).

L’EMG è una procedura spesso propedeutica all’inizio di una terapia del dolore, in quanto permette, insieme a TC ed RM, di diagnosticare nevralgie e neuropatie. L’elettromiografia degli arti superiori è indicata per la diagnosi di cervicobrachialgie da ernia del disco, sindrome del tunnel carpale e neuropatie periferiche. L’elettromiografia degli arti inferiori è indicata per la diagnosi eziologica delle neuropatie degli arti inferiori (ad es. lombosciatalgia da ernia del disco). È possibile effettuare un esame di elettromiografia a Palermo o presso la Fondazione Istituto G. Giglio a Cefalú, previa prescrizione del Dott. Giuliano Lo Bianco.

Diagnostica di Precisione

Individuare con accuratezza l’origine del dolore è il primo passo per impostare un trattamento realmente efficace e personalizzato.

Valutazione Clinica e Strumentale Integrata

Esame obiettivo specialistico, analisi degli esami radiologici e utilizzo dell’ecografia per una diagnosi completa e mirata.

Tecnologia al Servizio della Cura

L’impiego di metodiche avanzate consente maggiore sicurezza, precisione nelle procedure interventistiche e migliori risultati terapeutici.